Protocol de investigație CT pentru umăr

Examinarea prin computer tomograf (CT) a umărului este relativ simplă și rapidă, însă presupune un protocol de investigație compus din mai multe procese.
  1. 1
    Protocol de achiziție a imaginilor – cu pacientul în interiorul aparatului
  2. 2
    Protocol de postprocesare a imaginilor – fără a mai fi necesară prezența pacientului

Protocol de achiziție a imaginilor

Pacientul trebuie să stea nemișcat în interiorul aparatului timp de 15-90 de secunde, în funcție de rapiditatea aparatului. Protocolul de investigație pentru umăr cuprinde achiziții dedicate articulațiilor mari, în câmpul de examinat se interpune și umărul contralateral, coloana cervicală și toracele superior, cu parametri care să permită o bună vizualizarea a corticalei osoase. Există în prezent protocoale specializate pentru achiziția fiecărui tip de organ, iar setările automate ale aparatului permit, de obicei, obținerea unei achiziții de bună calitate.

Examinarea prin computer tomograf obține întotdeauna imaginile RAW în plan axial, spre deosebire de rezonanța magnetică, unde putem obține imagini în orice plan.

Protocol de postprocesare a imaginilor

Odată obținute datele inițiale (RAW data) sub forma unui volum spațial scanat, pacientul poate părăsi aparatul. Utilizatorul, de obicei tehnicianul de computer tomograf, trebuie să “ceară” aparatului afișarea informațiilor brute sub forma de informații procesate.

Afișarea cu evidențierea părților moi sau ale osului

Pentru articulații/oase se folosesc de obicei imagini cu două tipuri de parametri diferiți: pentru părți moi și pentru os.

Imaginile cu parametri de părți moi (“kernel” dedicat părților moi) sunt de obicei cu contururi mai line, mai “smooth”, cu “netezirea” artificială a micilor detalii și permit reconstrucții 3D foarte plăcute ochiului, cu aspect anatomic.

Imaginile cu parametri de os (“kernel” dedicat osului) sunt cu conturi mult mai netede, mai exacte, mai “sharp”, care permite o foarte bună apreciere a celor mai fine traiecte de fractură, însă imaginile 3D obținute pe seama acestora nu sunt la fel utile, fiind cu margini ascuțite și un aspect mai puțin plăcut vizual datorită prea multor detalii prezente.

Image
Aspect comparativ - afișarea în fereastră de părți moi (stânga) și în fereastră de os (dreapta)

Reconstrucții în alte planuri (MPR)

Datele achiziționate la pasul 1 sunt în plan axial, însă pentru un diagnostic corect și ușor este nevoie și de reconstrucții în alte planuri decât cele axiale. Din acest motiv este foarte important în postprocesare ca operatorul să obțină reconstrucții în sagital și coronal (MPR – multiplanar reconstructions) pentru zona respectivă, care să respecte planurile corecte anatomic referitoare la acea articulație. În cazul umărului sagitalul va fi construit paralel cu cavitatea glenoidă, iar coronalul va fi perpedicular pe cavitatea aceasta.
Image
Aspect de reformatare în 3 direcții ale spațiului, reconstrucție MPR
În funcție de cerința medicului radiolog, după aceste reconstrucții multiplanare (MPR), operatorul ar trebui să realizeze secvențe MPR groase, în care prin însumarea planurilor să se poate urmări mai ușor o anumită structură, de exemplu un traiect de fractură.
Image
Aspect de reformatare în 3 direcții ale spațiului, recontrucție MPR gros
În anumite cazuri, reconstrucțiile de tip MIP (maximum intensity projection) pot fi utile (mai ales în situațiile în care se dorește măsurarea de unghiuri/axe biomecanice)
Image
Aspect de reformatare în 3 direcții ale spațiului, recontrucție MIP

Reconstrucții tridimensionale

În final, pentru a veni în ajutorul medicului radiolog sau ortoped, examinarea trebuie să se încheie cu o reconstrucție 3D, cel mai frecvent de tip VRT (volume rendering), care să permită rotirea volumului de examinat în orice direcție și aprecierea suprafeței osoase și a traiectelor de fractura/ fragmentelor osoase din focar.
Image
Reconstrucție tridimensională a oaselor din articulația umărului (VRT)
Aspect de rotație în jurul axului a unei reconstrucții 3D
Reconstrucțiile se fac preferabil din secvențele cu fine (kernel de părți moi). Cele reconstruite din imaginile cu kernel de os sunt cu margini prea ascuțite.
Image
Reconstrucție tridimensională a oaselor din articulația umărului (VRT) din imaginile cu kernel de părți moi
Image
Reconstrucție tridimensională a oaselor din articulația umărului (VRT) din imaginile cu kernel de os - contururi sharp
În cazurile în care zona de interes este acoperită de alte structuri, imaginea se prelucrează software, eliminând din imagine părțile care nu sunt utile. Exemplu: eliminarea din imagine a humerului, pentru a permite vizualizarea cavității glenoide.
Aspect de rotație în jurul axului după "decuparea" din imagine a humerusului, pentru o mai bună vizualizare a cavității glenei scapulei.

Reconstrucții cu parametri speciali

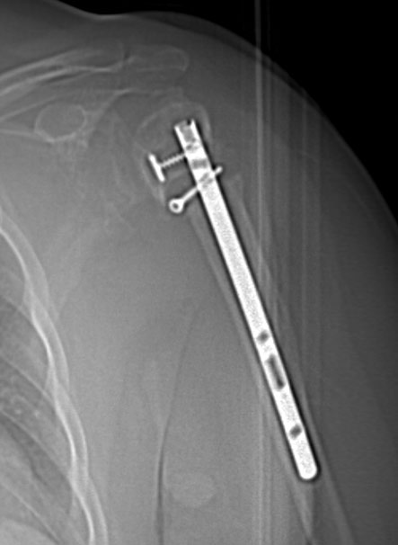
În cazuri speciale, cum sunt prezența de materialele metalice (tije, șuruburi, proteze), ele vor artefacta imaginea puternic, și de aceea atât protocolul de achiziție, cât și cel de postprocesare sunt puțin diferite. Pentru achiziție se vor utiliza parametri electrici cu valori mai mari și slice foarte fin combinat cu un pitch subunitar, eventual cu modificări ale hărții de afișare a nuanțelor de gri (extended CT scale). Din punct de vedere al postprocesării, reconstrucțiile volumetrice cu evidențierea metalului prin transparența osului sunt foarte utile și ușor de înțeles atât de radiolog cât și de ortoped.
Image
Radiografie humerus – material metalic de osteosinteză (tijă)
Image
Computer tomografie humerus cu prezența tijei care artefactează imaginea
Image
Reconstrucție 3D a humerusului, cu protocol uzual, cu alterarea intensă a imaginii datorită metalulului
Image
Reconstrucție 3D a humerusului, cu un protocol special care evidențiază ușor metalul prin transparența osului
Rotație în jurul axei – reconstrucţie 3D cu protocol de evidențiere a metalelor